大馬歐陽家族會 籲年輕宗親加入



(吉隆坡29日訊)馬來西亞歐陽家族會會長拿督歐陽丁清呼籲更多的歐陽姓氏宗親加入歐陽家族會,使得該家族會得以持續傳承下去。
“只有年輕一代的加入,才能延續家族會未來的發展及傳承。”
ADVERTISEMENT
他今日在馬來西亞歐陽家族會第54週年紀念聯歡午宴暨第26屆理事會就職典禮上致辭時時說道,歐陽家族會希望能夠吸收更多的年輕新秀,以讓該組織持續充滿活力及生機,不讓宗親會在我國成為一個可有可無的組織。
因此,他希望所有來自全國各地歐陽姓氏的宗親能夠申請成為歐陽家族會會員,特別是柔佛、馬六甲及檳城等地區。
他說,目前歐陽家族會的會員不到200人,屬於一個小組織,但也因此理事會成員中不會出現爭奪權力的問題。
盼今年購新會所
另外,歐陽丁清希望在這屆(第26屆)理事會的合作下,能完成在今年購買新會所的目標,以方便未來家族會舉辦更多的活動。
他透露,購買該新會所產業的預算在150萬以下,希望有興趣出售的人士可以聯絡歐陽家族會共同商議詳情。
歐陽捍華:支持重評估校園辦巴周
另一方面,巴生港務局主席歐陽捍華表示,近期首相拿督斯里安華呼籲全國人民聲援巴勒斯坦人民的事件,被一些較為極端的團體詮釋為支持哈馬斯,是具有誤導性的。
他說,我國在國際上作為中立國,出發點是以人道立場來支持受戰爭牽連無辜的百姓,而非分辨是非對錯。
因此,他對交通部長陸兆福提議的重新評估中所有學校舉辦的“巴勒斯坦團結周”活動表示支持,並指不應該讓極端的元素滲透進校園內,影響到教育。
第26屆馬來西亞歐陽家族會理事名單
會長/拿督歐陽丁清
署理會長/歐陽育山
副會長/歐陽麗萍
總務/歐陽建
副總務/歐陽天隆
財政/歐陽育華
副財政/歐陽文森
福利組/歐陽宜雄
教育組/歐陽天有
交際組/歐陽子建
文娛組/歐陽白英
理事/歐陽建壯
理事/歐偉傑
查賬/歐陽麗蓮
查賬/歐陽少萍

ADVERTISEMENT
熱門新聞
百格視頻

(八打灵再也7日讯)18岁少女吸电子烟导致呼吸急促、心跳每分钟120下、血氧跌至93%,确认感染肺炎!
胸腔内科医生努鲁雅欣(Dr Nurul Yaqeen)在脸书撰文分享一名18岁少女,近两年来每日吸食电子烟及大麻,最终导致肺部受损二度紧急送入医院的真实个案。
她说,这名少女在首次入院时,以微弱的求救声说“医生,我胸口很闷……我喘不过气来。”
“少女脸色苍白、眼神不安,患有强迫症及运动诱发型哮喘。当我
检查时,尽管她呼吸急促、心跳达每分钟120下,但听诊器下的肺部却出奇地‘安静’,不是哮喘发作的喘鸣声。”
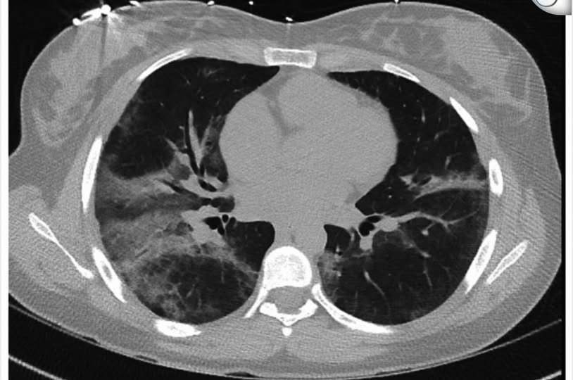
努鲁雅欣说,经过电脑断层扫描发现,少女的双肺呈“毛玻璃状阴影”(Ground Glass Opacities),这并非典型的肺炎,也不是癌症。
她初步以抗生素治疗,包括头孢曲松及阿奇霉素,并怀疑是社区型肺炎,却毫无起色,病情反而恶化,血氧再度下降,呼吸困难加剧。
由于情况紧急,她遂为少女进行支气管镜检查及肺泡灌洗(BAL),检测结果显示肺泡中充满发炎细胞,包括中性球、淋巴球及巨噬细胞,因此确认是肺部炎症,而非细菌感染。
努鲁雅欣随即开始施打静脉类固醇以抑制肺部发炎,并向家属说明:“我们不是在对抗细菌,而是在处理电子烟导致的肺部损伤。”
几天后,她说,少女的情况明显改善,胸闷消失,血氧回升至97%,并露出久违的笑容。
少女在出院前喃喃说道:“我没想到电子烟会害我这么惨……”努鲁雅欣也叮嘱她务必戒除电子烟,并开了10天口服类固醇药物。
没想到一个月后的凌晨2时,她接获急诊通知:“同一名少女再次送院,这次病情更严重——高烧、呼吸困难、心跳飙升至每分钟150下。”
胸部X光显示小篓双肺再度布满阴影,白血球飙升至19.7,病情明显比上次更危急。
稳定下来后,努鲁雅欣问她:“你为什么又抽了?”她垂下头,小声说:“我压力很大,不抽会很焦虑……”
努鲁雅欣心疼的说,这名年轻女孩不只是在对抗疾病,更是在与成瘾及心理压力抗争。
她再次展开治疗,这次采用更长期的类固醇疗程,并给予肺囊虫感染预防药物,同时转介她接受心理辅导与戒烟支援。
“我只希望这是她最后一次复发,因为我不知道她的肺还能不能承受下一次。”
努鲁雅欣以此个案提出五大警示:
一。电子烟并不安全,即使是年轻、身体健康者也可能导致严重肺部发炎。
二、肺部一旦受损,未必能完全恢复。
三、心理与身体健康需同步处理,成瘾是真实且危险的问题。
四、青少年须及早接受健康教育,勿等到肺坏了才悔悟。
五、家长与社会应关注青少年,有时他们是在发出无声的呼救。



ADVERTISEMENT
